관절센터

지역의 가장 든든한
관절 주치의
32년간 보내주신 여러분의 믿음이 있었습니다.

내 질환은 어느 단계일까?
어떤 병원을 믿어야 할지 모르겠어요.
이제, 치료에만 집중하세요.
주요수술
내 관절이 선택한 병원
다시 걷고, 다시 일하고, 다시 웃을 수 있도록
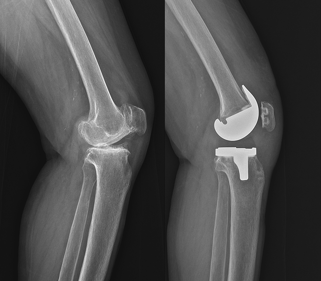
인공관절치환술
기능 회복
통증 완화

회전근개봉합술
재활 용이
낮은 감염률

반월상연골절제 봉합술
재활 용이
빠른 회복

ST.PETER SPINE CENTER ST.PETER SPINE CENTER ST.PETER SPINE CENTER ST.PETER SPINE CENTER ST.PETER SPINE CENTER ST.PETER SPINE CENTER ST.PETER SPINE CENTER ST.PETER SPINE CENTER ST.PETER SPINE CENTER ST.PETER SPINE CENTER ST.PETER SPINE CENTER ST.PETER SPINE CENTER
회복을 위한 약속
통증에 대한 고민을
끝내겠습니다.
온전한 회복을 위해 지켜온 원칙.
환자를 위한 성베드로병원의 특별한 약속입니다.

불안함 없이 정확하게
대학병원급 MRI 3.0T
기존 장비보다 촬영시간 최대 40% 단축,
눈에 보이지 않는 미세한 변화까지 놓치지 않습니다.
증상 및 치료방법
혹시, 이런 증상을 겪고
계신가요?
아래에서 내가 겪는 증상과 치료방법을 확인해보세요.
통증의 원인과 해결 방법을 찾을 수 있습니다.


환자 이야기
치료 경험을 전하는 이야기
본 영상은 환자의 개인적인 경험을 바탕으로 한 내용이며 치료 결과는 개인의 상태에 따라 차이가 있을 수 있습니다.
자가 체크리스트
내 관절 돌보미 서비스
나의 관절 건강을 점검해 보세요!
1
무릎이 시큰거리는 느낌이 든다.
2
무릎에 열감이 있고 자주 붓는다.
3
무릎에서 '딱' 소리가 들린다.
4
밤에 통증이 심해 잠을 자기 어렵다.
5
걸음걸이가 이상하다는 말을 듣는다.
6
다리가 쫙 펴지지 않는다.



